Дентальный рентген в Одинцово

Цифровой ортопантомограф — точные снимки всей полости рта за секунды и надёжный помощник врача для быстрой и безопасной диагностики.
Записаться на приём

Ортопантомограф в Одинцово

Благодаря данному аппарату стоматолог располагает большей информацией о твердых и мягких тканях всей полости рта.

Цифровой ортопантомограф позволяет нам существенно экономить время, за счет обеспечения быстрых и высококачественных изображений. Процедура панорамного снимка не несет никакого вреда для здоровья человека, так как дозы излучения крайне малы.

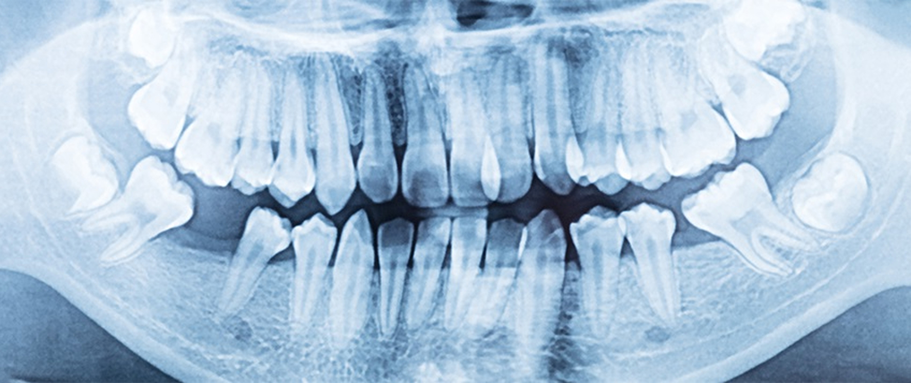
Снимок всего зубного ряда

Снимки ортопантомографа регистрирует специальный датчик, который обладает высокой чувствительностью к рентгеновским лучам. Готовый снимок распечатывается на бумагу (в случае необходимости).

Панорамный снимок предоставляет врачу получать снимки зубов, челюстных суставов и гайморовых пазух, а также снимки всего зубного ряда у маленьких и взрослых пациентов.

Нужна консультация?

Заполните заявку и мы перезвоним

Адрес клиники

ул. Маршала Жукова, 9, Одинцово, Московская обл.

Время работы

Пн - Вс: с 9:00 до 21:00

Номер телефна

+7 (495) 787-24-50